|
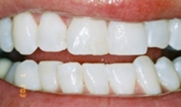
Teeth Whitening |
|
Before |
After |
|
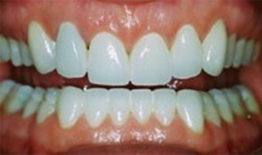
Aesthetic Fillings |
|
Before |
After |
|
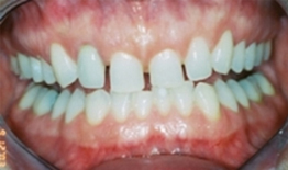
Cosmetic Bonding |
|
Before |
After |
|
Porcelain Veneers & Crowns |
|
Before |
After |